Vuoden 2025 jäsenmaksu on erääntynyt 15.10.2025, olethan muistanut maksaa jäsenmaksun? Voit tarkistaa maksun tiedot ja tilanteen kirjautumalla jäsensivuille.
Lampaiden koboltin puutostiloista
Hyvin hoidetulla luomulammastilalla alkoi vuoden 2022 laidunkauden jälkeen tapahtua kummia. Tilan 86 uuhesta kuuden kunto heikkeni pikkuhiljaa. Lampuri epäili loisia, tutki ulostenäytteitä ja niistä löytyikin kohtalaisen paljon Strongylida-lahkon sukkulamatojen munia.
Lampaat saivat asianmukaisen lääkityksen, mutta syksyn edetessä osa uuhista oireili edelleen ja kaksi menehtyi. Oireina oli yleistä heikkoutta ja letargisuutta, ruokahaluttomuutta, lihasten kuihtumista, silmien aristamista ja vetistä silmävuotoa, aneemisuutta ja turvotusta leuan alla.
Oireilevat olivat eri ikäisiä, 2–4 vuotiaita, osa oli karitsoinut, osa ei. Heikot, laihat uuhet otettiin erilleen sairaskarsinaan, jossa ne saivat olla vapaalla ruokinnalla. Ne söivät ja märehtivät, mutta eivät kuntoutuneet, eikä niitä otettu astutusryhmään.
Keväällä 2022 syntyneiden karitsoiden kasvutulokset jäivät myös alle odotusten, vaikka kesä ja laidunkausi näytti menneen hyvin. Yhtään karitsaa ei sentään kuollut laitumelle.
Lampaiden oireet viittasivat koboltinpuutteeseen
Lampuri halusi selvittää oireiden syyn ja yksi hyvin heikkokuntoinen alle 2-vuotias karitsoimaton uuhi lopetettiin ja tuotiin tutkittavaksi. Avauksessa sillä todettiin voimakas anemia ja kudosten ödemaattinen turvotus.
Löydökset olivat tyypillisiä ison mahamadon (Haemonchus contortus) aiheuttamalle haemonkkoosille. Juoksutusmahasta ei vain löytynyt yhtään matoa, eikä mahassa muutenkaan todettu voimakkaan ödeemin lisäksi muutoksia.
Uuhi oli hyvin lihasköyhä, mutta rasvakudosta oli jonkin verran nahan alla ja elinten ympärillä. Maksa oli vaaleahko ja rakeisen hauras.
Seuraavien viikkojen kuluessa tutkittavaksi tuli vielä kaksi tilalla itsestään kuollutta uuhta, joista toinen oli kerran ja toinen kahdesti karitsoinut. Molemmissa todettiin samankaltaiset muutokset kuin ensimmäisenä tutkitussa, paitsi että nämä olivat lisäksi kellertäviä, ikteerisiä. Kummankin maksa oli hyvin vaalea, hauras ja rasvoittuneen oloinen.
Lisäksi pernan viillospinta oli vetisen valuvaa. Toisella oli voimakas askites ja vatsaontelossa oli noin viisi litraa kirkasta nestettä. Histologisesti kummankin maksa oli hyvin voimakkaasti rappeutunut ja rasvoittunut.
Pernan follikkelit olivat surkastuneet ja pernan makrofageihin oli kertynyt runsaasti ruskeaa pigmenttiä. Todetut muutokset ja kliiniset oireet viittasivat koboltinpuutteeseen.
Koboltti lampaalle elintärkeää
Koboltti on märehtijöille elintärkeä hivenaine, jota pötsin mikro-organismit tarvitsevat kobalamiinin (B12-vitamiini) synteesiin. Lampaan täytyy saada sitä rehussa.
Kobalamiini toimii koentsyyminä DNA-synteesissä, se on osallisena luuytimessä tapahtuvassa hematopoieesissa sekä energia- ja proteiiniaineenvaihdunnassa.
Koboltin puute johtaa anemiaan ja energia- ja proteiiniaineenvaihdunnan häiriöihin. Koboltinpuutteen seurauksena eläin laihtuu, lihakset surkastuvat, hypoproteinemia johtaa ödemaattiseen turvotukseen ja solut kärsivät hapenpuutteesta. Koboltinpuutteen oireet kehittyvät pidemmän ajan kuluessa ja puute voi olla pitkään piilevää. Heikentynyt ruokahalu, laihtuminen, anemia ja villan laadun heikentyminen ovat yleisiä oireita, ja myös maan, puunkuoren tai karsinan puuosien jyrsimistä voi esiintyä. Tiineet uuhet voivat luoda karitsansa.
Ruokintasuunnitelmaa ja rehuanalyysejä tarkasteltiin uudemman kerran, jotta selviäisi, onko koboltin puute ollut mahdollinen. Paikallisen maaperän alhaisen kobolttipitoisuuden takia tilan säilöheinässä on vähäisesti kobolttia; vuoden 2022 sadossa vain 0,042 mg/kg kuiva-ainetta.
Lampaiden päivittäinen koboltin tarve on kirjallisuuden mukaan noin 1 mg päivässä. Puutosoireita voi alkaa ilmetä, jos rehujen kobolttipitoisuus jää alle 0,1 mg/kg kuiva-ainetta. Tässä tapauksessa lampaiden koboltin tarve on täytettävä käytännössä täysin kivennäis- ja hivenainevalmisteella.
Tilan lampaat ovat saaneet samaa luomuhyväksyttyä ja hyvin maittavaa lammaskivennäistä ohjeen mukaan jo vuosikausia, eikä aikaisemmin ole ilmennyt tämän kaltaisia kuihtumis- ja kuolemantapauksia. Kivennäisten käyttömäärää lisättiin, kun alettiin epäillä koboltin puutetta oireiden aiheuttajaksi.
Lampuri huomasi kivennäisten vakuustodistuksesta, että tuotteen kobolttipitoisuutta oli vähennetty aiemmasta. Vuonna 2013 ollut määrä 81 milligrammaa painokiloa kohden oli vähentynyt noin kuudesosaan, 14 milligrammaan painokiloa kohden. Kivennäisen todellinen kobolttipitoisuus tutkitutettiin ulkopuolisessa laboratoriossa ja saatiin tulokseksi vain 11 mg/kg.
Valmistajan antama kyseessä olevan kivennäisen käyttösuositus on 30–50 grammaa päivässä.
Ensiavuksi B12-vitamiinia
Talvella uuhia kuntoluokitettiin ja muutama laihtunut siirrettiin sairaskarsinaan, jossa niitä on edelleen viisi tehohoidossa. Kolmesta uuhesta otettiin helmikuussa verinäytteitä, joista niillä ilmeni muun muassa voimakas anemia, proteiinien puute, poikkeavuuksia verisoluissa ja korkeita seerumin maksa- ja lihasentsyymiarvoja.
Huolestuttavista veriarvoista huolimatta nämä uuhet ovat elossa ja hitaasti kuntoutuneet. Niille annettiin ensiavuksi B12-vitamiinia suun kautta. Ne ovat saaneet syödä runsaasti säilöheinää ja lisäksi niille on annettu pieni määrä hernekauraa väkirehuksi ja ruokahalun innoittajaksi. Lammaskivennäistä annostellaan maksimimäärä, mikä muiden ainesosien, kuten seleenin puolesta voidaan käyttää.
Karitsointikausi on kirjoitettaessa juuri alkamassa tilalla ja lampuri odottaa hieman huolestunein mielin, onko koboltin puutos vaikuttanut pian syntyviin karitsoihin ja emojen terveyteen. Edellisellä karitsointikaudella havaittiin ainakin yksi poikkeavan pitkä tiineys, joka oli yli 153 vuorokautta, ja muutamalla uuhella epätavallisen pieniä karitsoita.
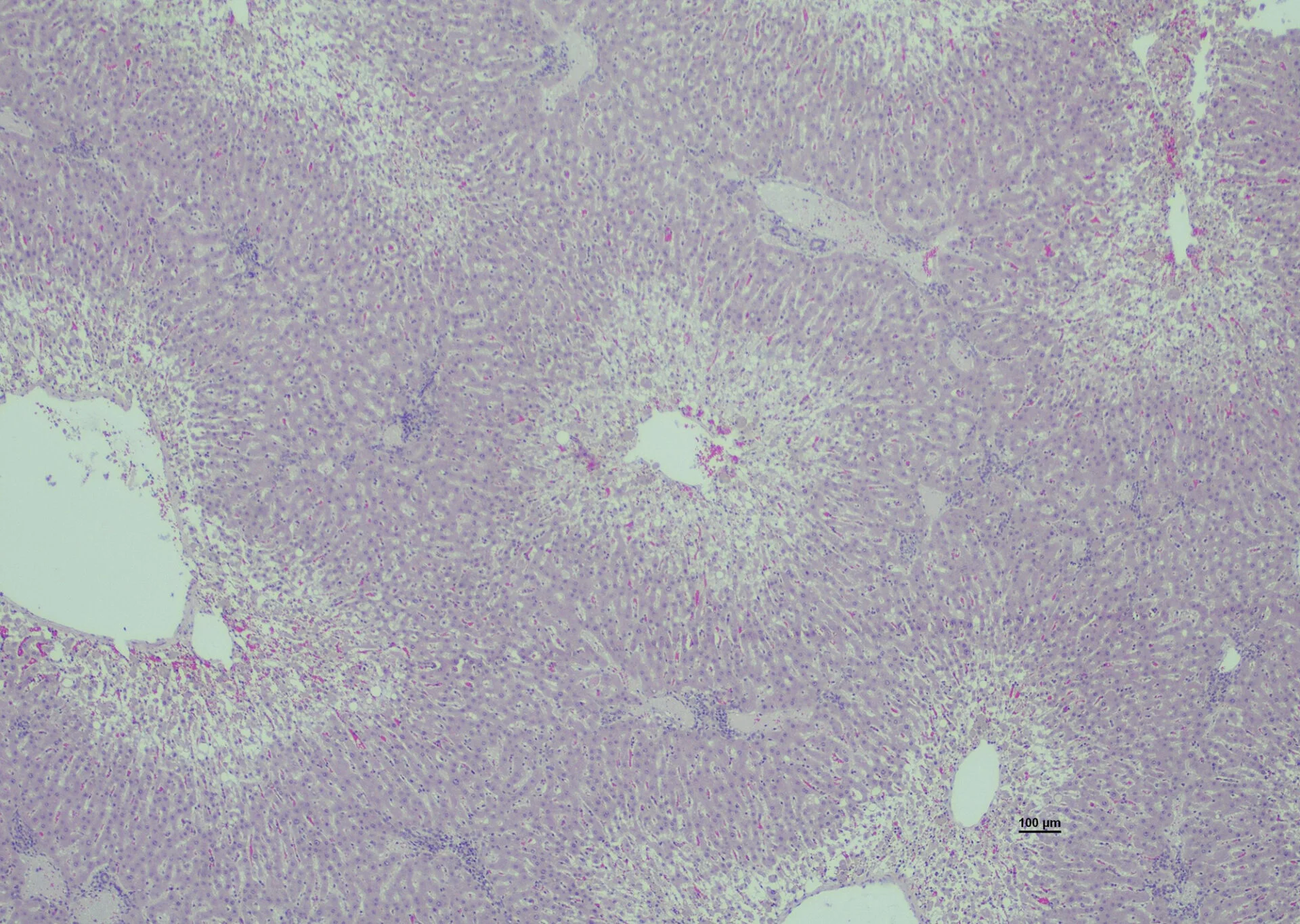
Kuvassa on lopetetun uuhen maksa, jossa on voimakas sentrolobulaaristen maksasolujen rappeuma ja rasvoittuminen. Kuva: Ruokavirasto
Kirjoitus on julkaistu ensimmäisen kerran Eläinlääkärilehdessä 3/2023.
Salla Viiala ja Minna Nylund
Kirjoittajista FM, biologi Salla Viiala työskentelee lampurina Muhoksella ja erikoistutkija Minna Nylund Ruokavirastossa.
Eläinlääkäripäivät – kuin satu, joka onkin totta
Eläinlääkäri, yhteisön roolimalli vai tavallinen ihminen?
