Puutiaisaivokuumeviruksen yhteys koirien sikiökuolemiin
Myöhäissyksyllä 2024 ruotsalaisten Sveriges Lantbruksuniversitetin (SLU) ja Statens Veterinärmedicinska anstaltin (SVA) kollegat ottivat yhteyttä meihin eläinlääketieteellisen tiedekunnan (ELTDK) patologieläinlääkäreihin ja pyysivät apua. Kyseessä oli mielenkiintoa ja hämmennystä herättävä koirapotilas, jota SLU:n kliinikot olivat hoitaneet ja jonka SVA:n tutkijat olivat ottaneet erityistutkintaan alustavien löydösten pohjalta.
Koira oli myöhäistiineyden aikana menettänyt pentujaan, ja yleisimmät tunnetut sikiökuolemia tai abortteja aiheuttavat tekijät oli suljettu pois. Ruotsalaiset virologit löysivät jatkotutkimuksissa syväsekvensointimenetelmällä yllättäen puutiaisaviokuumeviruksen (tick-borne encephalitis virus, TBEV) sekvenssiä yhden luodun pennun istukkakudoksessa.
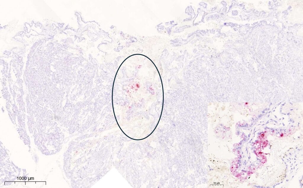
Ruotsin tutkijat pohtivat, oliko kyseessä mahdollisesti TBEV:n vertikaalisen tartunnan aiheuttama sikiökuolema koiralla. Tuota eristettyä virussekvenssiä voisi tuoda esiin kudostasolla mikroskoopissa näkyvän merkkiaineen avulla. Näin voisi vielä selvittää tarkalleen, missä kohtaa istukkaa virus on ja liittyykö virussignaali istukan vaurioihin.
Kyseinen tutkimus tehtiin ELTDK:ssa ja epäily vahvistui: virussekvenssiä löytyi pennun istukkakudoksesta juuri vaurioalueista. Tapauksesta on julkaistu selostus ja siitä herää kysymys, voiko TBEV-infektio johtaa myöhäistiineyden sikiökuolemiin koiralla.

TBEV ja puutiaisaivokuume
TBEV on flavivirus, joka tarttuu pääasiassa puutiaisen puremasta. Levinneisyysalue ja altistuspaine kasvavat pohjoisessa Euroopassa muun muassa ilmastonmuutoksen myötä, kun puutiaisten esiintyvyysaika vuodessa pitenee. Seroprevalenssi voi koirapopulaatiossa olla yli 50 prosenttia taudin endeemisillä alueilla Euroopassa.
TBEV-infektio etenee usein oireettomana koiralla, mikä vaikeuttaa taudin seurantaa. TBEV-infektio voi myös aiheuttaa koiralle akuutin neurologisen sairauden, jossa kuolleisuus on korkea, mutta nämä tapaukset ovat toistaiseksi olleet harvinaisia. Eläinlääketieteellisen tiedekunnan patologialla on viimeisten 20 vuoden aikana vahvistettu kaksi lopetukseen johtanutta puutiaisaivokuumetapausta koiralla. Oppiaineella tutkitaan noin 200 koirapotilasta post mortem vuosittain.
TBEV:n aiheuttamat vakavat tautitapauksen ihmisillä ovat lisääntyneet viime vuosina, ja tauti on osoittautunut potentiaalisesti hengenvaaralliseksi infektioksi myös nuorilla aikuisilla. Syy muuntuvaan taudinkuvaan on epäselvä. Tuoreimmissa kuolemaan johtaneissa tautitapauksissa tutkijat ovat epäilleet, että potilaan omalla immuunivasteella olisi infektion lisäksi ollut suuri merkitys hermostovaurioiden aiheuttajana. Kudosvaurioon on liittynyt verisuonitulehdusta ja aivopöhöä, vaikka virusmäärä aivossa on tutkimushetkellä ollut vähäinen.
TBEV sikiökuolemien taustalla koiralla
Ruotsalaistutkijoille heräsi epäily TBEV:n ja sikiökuolemien yhteydestä tapauksesta, jossa kuusivuotias beaglenarttu menetti useita sikiöitä tiineyden loppuvaiheessa. Keisarileikkauksessa syntyi yksi elävä ja kolme eri kokoista kuollutta ja osin resorboitunutta pentua. Kohdunsisäisesti etenevä virusinfektio vaurioittaa tyypillisesti sikiöt juuri näin, eri kehitysvaiheissa. Emän vakava yleissairaus tyypillisesti vaurioittaisi samanaikaisesti kaikki istukat ja sikiöt johtaen eri löydökseen.
Ainoa elävänä syntynyt pentu kuoli elvytysyrityksistä huolimatta. TBEV:n nukleiinihappoa todentui tämän pennun istukasta metagenomiikalla ja PCR:llä. Eläinpatologit paikansivat viruksen in situ -hybridisaatiomenetelmällä pennun trofoblasteihin ja istukan eri kerroksiin. Emän veressä todettiin TBEV-vasta-aineita neutralisaatiokokeella. Kohdennettu diagnostiikka emän, istukan ja pentujen osalta sulki pois Brucella canis -infektion (negatiivinen viljelytulos sekä emän verestä, emättimen sivelynäytteestä että pennun elimistä) sekä koirien herpesviruksen (negatiivinen PCR-pentujen elimistä) vaurioiden taustalla.
Histopatologisesti istukassa erottui lievä äkillinen kuolioinen istukkatulehdus. Istukan lamelleissa oli monin paikoin pieniä kuolioalueita ja veritulppia. Vastaavia histopatologisia löydöksiä on kuvailtu liittyvän kohonneeseen perinataaliseen kuolleisuusriskiin koirilla, mutta niitä ei ole aiemmin yhdistetty mihinkään spesifiseen aiheuttajaan. Pentujen muissa tutkituissa elimissä ei todettu merkittäviä histopatologisia muutoksia, ja narttu synnytti vuoden kuluttua normaalin terveen pentueen. Tapaus osoittaa TBEV:n vertikaalisen siirtymisen jälkikasvuun koiralla ja tukee hypoteesia, että TBEV voi olla yksi differentiaalidiagnoosi koiran sikiökuolemissa, erityisesti endeemisillä alueilla.


Flavivirusten tartuntareitit
Osa flaviviruksista voi siirtyä istukan läpi jälkikasvuun. Mieleenpainuva löydös oli zikavirusinfektion aiheuttamat sikiövauriot ja hermoston kehityshäiriöt ihmisillä. Myös sioilla esiintyvä flavivirus, Japanin aivotulehdusvirus, voi siirtyä vertikaalisesti jälkeläisiin. Japanin enkefaliittivirus voi aiheuttaa sikiöiden resorptioita, muumioitumista ja kuolleena syntyviä porsaita, jos tartunta osuu keskitiineyteen sialla.
Tutkimusnäyttö nostaa esiin TBEV-infektion uutena etiologisena erotusdiagnoosina koiralla, myöhäistiineyden aborttien taustalla.
Piennisäkkäillä kuten punamyyrällä on kuvattu TBEV:n vertikaalista infektiota, mutta muilla eläimillä tai ihmisillä TBEV:n kohdunsisäistä infektiota ei ole todettu. Asiaa on tutkittu ihmisillä tapauksissa, joissa äiti on sairastanut vakavaa puutiaisaivokuumetta raskauden aikana.
Koiralla vertikaalista TBEV-tartuntaa on epäilty mutta ei varmistettu aikaisemmin. Vuonna 2024 julkaistussa brittiläisessä artikkelissa kuvaillaan pentuetta, joka sairasti fataalista puutiaisaivokuumetta perinataalivaiheessa. Tutkijat pitivät punkkivälitteisen tartunnan infektioreittiä mahdottomana ja epäilivät kohdunsisäistä tartuntareittiä. TBEV erittyy ainakin märehtijöillä ja ihmisillä vireemisen vaiheen aikana maitoon ja virus voi tarttua myös ruuansulatuskanavan kautta imetyksen, sekä pastöroimattoman maidon tai maitotuotteiden välityksellä.
Seuraavat askeleet
Sikiökuolemat ovat koiralla yleisiä, ja on arvioitu, että jopa kahteen tiineyteen viidestä liittyisi alkioresorbtiota tiineyden alkuvaiheessa. Ongelma voi olla monisyinen, ja lopullinen etiologia voi jäädä selvittämättä, vaikka nartun yleissairaus, pentujen kehityshäiriöt tai tunnetut infektiot suljetaan pois.
Tämä uusi tutkimusnäyttö nostaa esiin TBEV-infektion uutena etiologisena erotusdiagnoosina koiralla, myöhäistiineyden aborttien taustalla. Kyseessä on kuitenkin vain yhteen tapaukseen pohjautuva löydös, joten tutkimus TBEV:n laajemmasta merkityksestä sikiökuolemien taustalla voi vasta alkaa. On aiheellista selvittää laajemmin, kuinka yleinen TBEV on koiran istukassa abortin yhteydessä.
Vastaavasti tulisi tutkia, voiko virusta esiintyä myös normaalisti, terveitä pentueita synnyttäneiden koirien istukoissa. On myös epäselvää, onko vertikaalinen TBEV-tartunta mahdollinen vain emän primaari-infektion yhteydessä. Tätä kaavaa tunnemme muun muassa parvoviroosin yhteydessä kissalla, missä pennun aivovauriot esiintyvät vain emän tiineyden aikaisen ensi-infektion yhteydessä.
Tällä hetkellä koiralle ei ole tarjolla TBEV-rokotetta, mutta jos osoittautuu, että rokotuksella olisi ehkäisevä rooli siitosnartuilla, tarve rokotuksen kehittämiselle voisi kasvaa.
Lisätietoa aiheesta:
Holst BS, Bonnevie A, Spens J, Lindahl JF, Huupponen A, Syrjä P, Blomström AL. Tick-borne encephalitis virus associated with foetal death in a bitch, a case report. Virol J. 2025 Oct 13;22(1):326. doi: 10.1186/s12985-025-02965-7. PMID: 41083999; PMCID: PMC12519796.
Kirjoitus on julkaistu ensimmäisen kerran Eläinlääkärilehdessä 2/2026.
Pernilla Syrjä
Kirjoittaja on eläinlääkäri, Dipl. ECVP, eläinpatologian dosentti ja toimii eläinpatologian apulaisprofessorina ELTDK:ssa.
